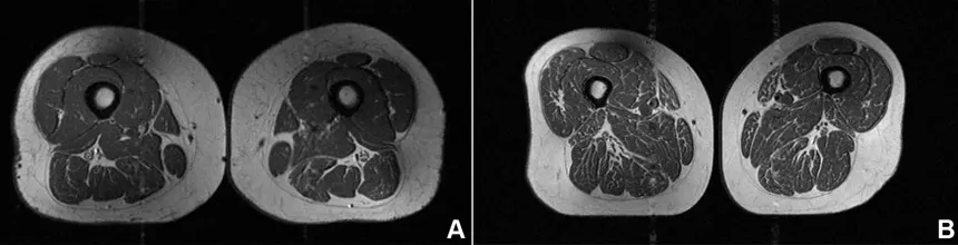
Προειδοποίηση επιστημόνων για τα υπερεπεξεργασμένα τρόφιμα: Η μαγνητική γυναίκας με τους μηρούς-μπριζόλα και ο «σιωπηλός» κίνδυνος - Το Γεγονός